Community
Campuses & Locations
Categories
UC Newsroom |

New York Times calls UC an ‘upward-mobility machine’

Six campuses in top seven spots of College Access Index, which ranks economic diversity.
UC Santa Cruz |

Annual Farm to Fork event honors past and future farmers

UC Santa Cruz event has supported more than 150 ecological horticulture apprentices through scholarships and subsidized meal plans.
UC Newsroom |

UC campuses, programs recognized for diversity

Higher Education Excellence in Diversity award, 'Bright Spot' in Hispanic education highlight UC's commitment to supporting diversity on campuses and in society.
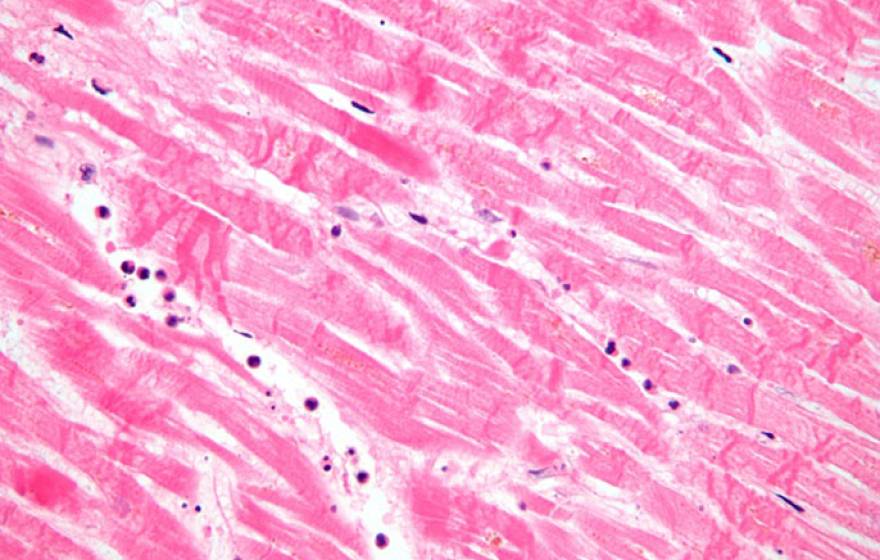
UC San Diego |

Hearts build new muscle with this simple protein patch

Successful in mice and pigs, researchers hope to test the patch in human clinical trials as early as 2017.
UC Newsroom |

UC ranked among top innovative universities

Reuters places UC system 13th in its top 100 list of most innovative universities around the globe.
UC Davis |

Invention helps California growers optimize water use

Technology developed at UC Davis is giving growers tools to help irrigate more effectively during the California drought and beyond.
UC Santa Cruz |

Genomics institute partners with Microsoft to accelerate biomedical research

Partnership provides the institute with access to new computing, data storage and analysis capabilities.
UCLA |

Center shatters myth of 'quiet' Japanese Americans imprisoned in camps

Asian American Studies Center project collects evidence of resistance during the war years.
UC Berkeley |

Virus in cattle linked to human breast cancer

Odds of breast cancer are greater when the easily transmitted bovine leukemia virus is present.
Fig. 1 by University of California |

The science behind Hollywood explosions

Nobody blows things up like Hollywood. Now, with the help of a tool called Wavelet Turbulence, filmmakers can generate realistic swirling smoke and fiery explosions that are more detailed, easier to control and faster to create.
UCLA |

Management alums turn fitness inside out

Riding the fitness craze, two classmates developed a business using DXA scanners that analyze the amount of fat and lean tissue one has.
UC Irvine via The Conversation |

Stem cells could help mend a broken heart, but they've got to mature

UC Grad Slam winner's stem cell work aims to conquer heart disease.