Community
Campuses & Locations
Categories
UC Newsroom |

Five UC alums awarded 2024 MacArthur ‘genius’ fellowships

The MacArthur Foundation recognizes outstanding scholars, creators and activists with $800,000 no-strings-attached “genius grants.”
UC Santa Barbara |

Scientists use drones to track white sharks along California beaches

Researchers are leading a project to predict when and where great white sharks show up near a beach.
UC Santa Cruz |

UC Santa Cruz alumnus Kauchani Bratt stars in Netflix film ‘Rez Ball’

“Rez Ball,” now streaming on Netflix, centers around a high school basketball team rich in Native American heritage,
UC Newsroom |

University of California leaders call on Congress to support the BASIC Act

Proposed federal legislation would create a $1B competitive grant program to help colleges and universities address food, housing and other basic needs among students.
UC San Diego |

Learning dance moves could help humanoid robots work better with humans

Humanoid robots are now Dancing on Their Own — a step towards building robots that perform more complex and human-like motions.
UC Santa Cruz |

New internship program gives UC Santa Cruz and HBCU students a hands-on look at the lives of enslaved peoples in 19th century America

The students' work added to the historical record, helping future scholars understand the workings of the slave trade.
UC Davis |

Genetic rescue for a rare California red fox

Genomic research at UC Davis uncovers options to restore Lassen red fox population.
UC San Diego |

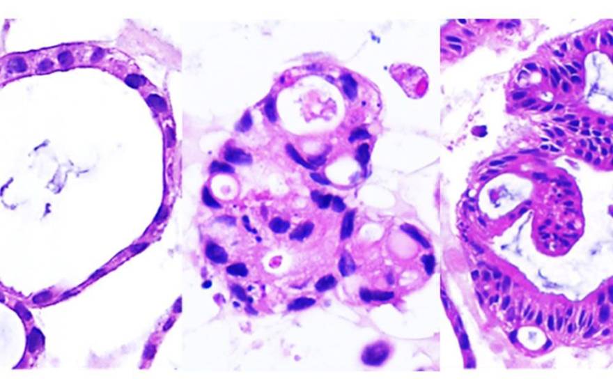
Organoids derived from gut stem cells reveal two distinct molecular subtypes of Crohn’s disease

UC San Diego researchers discover two distinct molecular subtypes of Crohn’s disease using patient-derived organoids, opening the door to personalized treatment for the chronic inflammatory bowel disease.
UC Newsroom |

UC Board of Regents honors Paris Olympians and Paralympians as they return home with medals, stories and gratitude

UC Olympians and Paralympians were invited to share their reflections on the Summer Games in Paris and honored by the UC Board of Regents in their most recent meeting.
UC Newsroom |

Kareem Abdul-Jabbar awarded UC Presidential Medal

The university’s highest honor, the award recognizes Mr. Abdul-Jabbar’s advocacy, his steadfast support of his alma mater and his efforts to inspire student-athletes.
UC Newsroom |

University of California secures top spots in 2024-25 U.S. News Best Colleges rankings

UCLA and UC Berkeley are No. 1 and No. 2, but that's not all — UC campuses make up half of the top 10 public schools in the country, with all nine undergraduate campuses in the top 45.
UC Berkeley via California Magazine |

Here's why you can't get home insurance in California

As wildfires abound in California, the state faces a mounting insurance crisis. Dave Jones, director of the Center for Law, Energy & the Environment at the UC Berkeley School of Law, explains why the current system is failing homeowners.