Community
Campuses & Locations
Categories
UC Newsroom |

Opportunity rising: The UC women fostering equality every day

A Women's History Month tribute to current students who are integrating equality into their lives, every single day.
UC Berkeley |

Dragging? Blame the ‘time pollution’ of springing forward

The body doesn't take kindly to time change.
UC Davis |

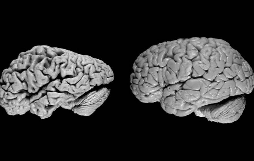
Dementia looks different in brains of Latinos

A first-of-its-kind study has uncovered dramatic racial differences in the brains of those with dementia.
UC Newsroom |

UC and Michelle Obama to cheer on California’s college-bound students

UCLA will host huge College Signing Day celebration of college opportunity.
UC Newsroom |

Think you know women's history?

See how well you know these unforgettable UC women by taking our Women's History Month quiz.
UCLA |

An easy life hack to make weekends more refreshing

Does treating your weekend like a vacation make you happier? A working paper says yes.
UC Berkeley |

Why UC split with publishing giant Elsevier

Universal open access to UC research and contained costs were important, unmet goals.
UC Santa Barbara |

Warm seas scatter fish

Climate change is shifting productivity of fisheries worldwide.
UC Irvine |

UC Irvine, UC Riverside scientists identify a new world for hackers

A sensitive DNA synthesis procedure will need more protection to ensure bioterrorists aren't listening in.
UC Irvine |

4 reasons the future will rely on humanities majors

As new technological and scientific advancements are made, humanists are needed at every turn.
UC Irvine via The Conversation |

Why cities should stop playing Amazon’s game and quit offering companies tax incentives

Economic research suggests tax incentives and other corporate subsidies don't have the positive impact they're supposed to.
UCSF |

Google translates doctor's orders into Spanish and Chinese — with a few important caveats

Long, jargon-filled sentences have the potential to cause clinically significant harm, but overall, the algorithm impresses.